Po-Hao Chen, MD, MBA

About

About

I have passion for translating cutting-edge technology into everyday patient care. At the heart of my work is a commitment to leveraging artificial intelligence and data engineering to make diagnostic services more available, accessible, and affordable.

In my current roles as Vice Chair of Artificial Intelligence for Diagnostics Institute and Medical Director for Enterprise Radiology Informatics at Cleveland Clinic, we built the Center for Diagnostics and Artificial Intelligence, focusing on the translational application AI that is operationally sustainable and scalable in diagnostics and treatment planning. In my previous role as the Chief Informatics Officer for Imaging, Cleveland Clinic Imaging Informatics modernized IT systems for four new hospital acquisitions and replaced radiology PACS for the enterprise's radiologits across over a dozen US states. I worked with a world-class team to support Cleveland Clinic London's radiology IT during the first weeks of its grand opening.

Volunteering in leadership roles across key organizations has been among my most fulfilling experiences raising awareness to these real-world technology adoption challenges at a national level. Working with experts in American College of Radiology, we championed the responsible adoption of AI through the efforts of Commission on Informatics and through the annual Data Science Summit. Leading SIIM's Security Subcommittee, we tackled healthcare's cybersecurity intersections. At the RSNA, I chair the Informatics Policy Committee, participate in the Government Relations Committee, and act as RSNA's representative to AMA's Specialty Collaboration on AI.

My research endeavors have culminated in authorship in over 70 publications in prestigious journals, abstracts, presentations, posters, and book chapters, across imaging informatics, AI, genomics, and beyond. I co-authored a book that can be found on Amazon, and my innovations have been recognized with two USPTO patents in AI algorithm in CT imaging. I volunteer on the Program Committee for Digital Pathology Association as a liaison for SIIM.

You can find my profile on Twitter, LinkedIn, or follow the blog Figure Stuff Out. I enjoy imaging informatics, healthcare innovation, and good comfort food. The content of this website and the blog are of my personal opinion and do not represent the view of Cleveland Clinic.

View curriculum vitae

Projects

Curriculum Vitae

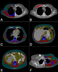
Automated Body Composition Measurement and Outcomes

  • Improving the value of imaging in chronic disease evaluation by "opportunistically" quantifying patterns of muscle loss, fat loss, and paradoxical relationships between subtypes of obesity and survival using CT imaging.
  • Two funded grants and >10 coauthored peer-reviewed manuscripts showed body composition is an independent predictor for outcomes of aortic disease, severe heart failure, non-Hodgkins lymphoma, breast cancer.
  • Future work focus on translating correlation to causation: can modfying body composition create better disease outcomes? And on operationalization.
  • Collaborated Publications

    Acute Aortic Syndrome Triage

  • Algorithm combines deep learning, physics, and expert insight to expedite high accuracy detection of aortic dissection on chest CTA.
  • 1 granted patent through US Patent and Trademark Office. One patent-pending.
  • Acute aortic syndrome has 1-3% mortality per hour over the first 24 hours. Prompt detection saves lives.
  • Integration with radiology PACS and RIS for workflow enhancement.
  • Natural Language Processing for Imaging Protocols

  • Presented at SIIM 2020 and published in Journal of Digital Imaging in 2022.
  • Won New Investigator Award
  • Protocols are "instruction sets" for radiology modalities. Proper protocol assignment is time consuming, but wrong protocols cause delayed care or incorrect care.
  • Comparing commercial auto ML builders (Google AutoML), with models using random forest, boosted trees, and deep learning approaches (e.g. ULMFiT).
  • Integrated Workflow Peer Learning Case Submission

  • Collaboration with Cleveland Clinic Imaging Quality. Presenting at SIIM 2020.
  • Peer Learning is the new form of Peer Review - Higher specificity for learning opportunities. Allow people to submit best cases in a nonthreatening way.
  • Voluntary case submission is the biggest problem.
  • Created a plugin for the PACS viewer - integrated case submission workflow without interruption and with auto-population of MRN and Accession.
  • Demonstrates substantially increased submission rates relative to old workflow
  • ARIES - Deep Learning + Bayesian System for Radiology Education and Dx Support

  • Plug-and-play Bayesian "artificial intelligence" for diagnostic support and education, with real-time update of differential diagnoses.
  • Approach validated in 2021 article as a high accuracy, explanable system for education.
  • Various features presented at 2016 SPIE Medical Imaging and 2018 SPIE Medical Imaging conferences
  • Educational mode presented at 2016 RSNA annual conference
  • Contributed to Bayes net research leading to additional oral presentations at ASNR, ACR, and SIIM.
  • Supported in part by an RSNA Educational grant with open-source release. Not a commercial product
  • RadCare - Resident-Led Radiology Consultation for General Medicine Wards

  • Created in-person consultation service for radiology residents to integrate with general medicine teams as part of normal radiology rotation.
  • Published in 2019 JACR article
  • 43% of all consultations led to a change in immediate clinical management decisions.
  • Radiology residents were shown to be no less productive while on consultation compared to in reading room.
  • 2017 AUR Research Scholars award for oral presentation.
  • Capricorn - Radiology Residency Analytics Tool

  • Residents: Track cases automatically for ACGME and MQSA. Discover discrepancies. Review attending changes to preliminary report. Crowdsource teaching files. (website)
  • Program Director: Curate resident performance dashboards. Identify great calls. Recognize underperformers.
  • Decreased missed PE on CTA by trainees using data-driven integrated quality improvement initiative
  • 2 peer-reviewed manuscripts on usability and on statistical analysis of attending variability.
  • RSNA oral presentations on analytics and approach to crowd-sourcing teaching files.
  • Winner of the 2014 Open Source Leadership Award at SIIM. Not a commercial product.
  • Centaur - Rapid-Fire Learning Module for Basic Imaging Findings

  • Radiology education tool. Single player "video game"-like mechanics. Rapid fire cases. Instant feedback. (website)
  • Trains perception of normal versus abnormal features.
  • 2 oral presentations at the RSNA conference.
  • Peer-reviewed manuscript showing improved trainee ability to perceive abnormality after one 20-minute session.
  • Integrating natural language processing and machine learning algorithms to categorize oncologic response in radiology reports

  • Created 9400 manually curated reports using structured reporting system "Code Oncology."
  • Studied the effect of NLP techniques (filter-based feature selection, N-gram tokenization, stop-word removal, word stemming, and tokenization models such as TF-IDF) on classification accuracy.
  • Compared performance of multiple machine learning algorithms on predictive accuracy.
  • Peer-reviewed manuscript published.
  • Unsupervised genomic and epigenetic analysis

  • Developed new techniques for probabilistic modeling of epigenetic relationships between miRNA, mRNA, and DNA polymorphism using differences between patient samples to bypass need for a priori data annotation.
  • Predictions validated by biochemical bench analysis.
  • Technique utilized in manuscripts published Science, Cell, Molecular Cell, and BMC Genomics.
  • Select Publications

    Curriculum Vitae

    1. Aleixo GFP, Valente SA, Wei W, Chen P-H, Moore HCF. Sarcopenia detected with bioelectrical impedance versus CT scan and chemotherapy tolerance in patients with early breast cancer. Breast Cancer. 2023 Jan;30(1):101–9.
    2. Shah C, Chen P-H. Beyond the AJR: Robust Ability of Artificial Intelligence to Detect Race Underscores the Need for Inclusivity and Transparency. Am J Roentgenol. 2022 Dec 21;1.
    3. Mirzai S, Eck BL, Chen P-H, Estep JD, Tang WHW. Current Approach to the Diagnosis of Sarcopenia in Heart Failure: A Narrative Review on the Role of Clinical and Imaging Assessments. Circ Heart Fail. 2022 Oct;15(10):e009322.
    4. Xavier BA, Chen P-H. Natural Language Processing for Imaging Protocol Assignment: Machine Learning for Multiclass Classification of Abdominal CT Protocols Using Indication Text Data. J Digit Imaging. 2022 Jun;35:1120-30.
    5. Chen P-H, Bodak R, Gandhi NS. Ransomware Recovery and Imaging Operations: Lessons Learned and Planning Considerations. J Digit Imaging. 2021 Jun;34(3):731-740.
    6. Rudie JD, Duda J, Duong MT, Chen P-H, Xie L, Kurtz R, et al. Brain MRI Deep Learning and Bayesian Inference System Augments Radiology Resident Performance. J Digit Imaging.s 2021 Aug;34(4):104958.
    7. Shah C, Kohlmyer S, Hunter K, Jones SE, Chen P-H. A translational clinical assessment workflow for the validation of external artificial intelligence models. In: Park BJ, Deserno TM, editors. Medical Imaging 2021: Imaging Informatics for Healthcare, Research, and Applications. Online Only, United States: SPIE; 2021. p. 14.
    8. Martin-Carreras TT, Li H, Chen P-H. Interpretative applications of artificial intelligence in musculoskeletal imaging: concepts, current practice, and future directions. J Med Artif Intell. 2020 Sep;3:1313.
    9. Shah C, Cook TS, Chen P-H, Hyland S, Heavener R, Kahn CE, et al. Improving Triage of After-Hours Radiology Examinations Through Worklist Unification. J Am Coll Radiol. 2020 Mar;S1546144020301459.
    10. Martin-Carreras T, Chen P-H. From Data to Value: How Artificial Intelligence Augments the Radiology Business to Create Value. Sem Musc Radiol. 2020 Feb;24(01):6573.
    11. Chen P-H. Essential Elements of Natural Language Processing: What the Radiologist Should Know. Acad Radiol. 2020 Jan;27(1):612.
    12. Duong MT, Rauschecker AM, Rudie JD, Chen P-H, Cook TS, Bryan RN, et al. Artificial intelligence for precision education in radiology. Br J Radiol. 2019 Jul 26;20190389.
    13. Gillman J, Wu SE, Rowland J, Scanlon M, Chen P-H. Comparison of In-Person and Digital Radiology Resident Consultation Services. J Am Coll Radiol. 2019 Feb 4; S1546144018314856
    14. Chen P-H, Scanlon MH. Teaching Radiology Trainees from the Perspective of a Millennial. Academic Radiology. 2018 Jun;25(6):794-800.
    15. Chen P-H, Cross N. IoT in Radiology: Using Raspberry Pi to Automatically Log Telephone Calls in the Reading Room. Journal of Digital Imaging. 2018 Jun;31(3):371-8.
    16. Deitte LA, Chen P-H, Scanlon MH, Heitkamp DE, Davis LP, Urban S, et al. Twenty-four-Seven In-house Faculty and Resident Education. Journal of the American College of Radiology. 2018 Jan;15(1):90a.
    17. Chen P-H, Zafar H, Galperin-Aizenberg M, Cook T. Integrating Natural Language Processing and Machine Learning Algorithms to Categorize Oncologic Response in Radiology Reports. J Digit Imaging. 2018 Apr;31(2):17884.

    Email Me

    In pop music, which singer - first and last name - is known for the hit album titled "1989"?